Dental Care

Dental Care

Dental care is very important to keep your pet healthy. Infected teeth can cause bad breath, loss of teeth, and pain. The bacteria in an infected mouth can also cause severe and long-lasting side effects to your pet's heart, liver, and kidneys. If not taken care of, diseased teeth can shorten the life of your pet! Dental treats, chews and brushing your pet's teeth are excellent ways to help but may not be enough to keep dental disease in check.

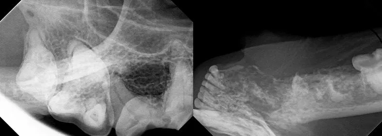
     Dental cleanings at Animal Medical Center require general anesthesia. Your pet will be maintained on the safest anesthesia available, monitored with special monitoring equipment and trained staff and kept warm on a circulating hot water blanket. While sleeping, your pet's teeth and mouth will be examined. Their teeth will be cleaned with an ultra-sonic scaler, polished, and treated with fluoride. Dental radiographs will be taken to asses the health of roots and can be utilized to assess other oral diseases.


Dental Care

Occasionally further dental procedures may be required and can all be performed while your pet is under anesthesia.

     General Anesthesia is required for dental cleanings and dental procedures. There is a current fad in the pet owner public to have anesthesia free dental cleanings performed on their pets. Every tooth including the back side and especially under the gum must be cleaned. Also it is necessary to polish every tooth after cleaning to buff out small scrapes made by the cleaning and to prevent tartar accumulation in the future. It is impossible to perform these required procedures appropriately in an animal not under anesthesia. 


Animal Medical Center of Casa Grande

Address

3151 N Piper Ave #107,
Casa Grande, AZ 85122

We look forward to hearing from you

!
!
!

Closed daily for lunch from 12:00 pm to 1:20 pm

Monday  

8:00 am - 6:00 pm

Tuesday  

8:00 am - 6:00 pm

Wednesday  

8:00 am - 6:00 pm

Thursday  

8:00 am - 6:00 pm

Friday  

Closed

Saturday  

Closed

Sunday  

Closed